Durch beginnende Karies (z.B. nach kieferorthopädischer Therapie), aber auch durch Medikamenteneinfluss oder Veranlagung können unästhetische weißliche Verfärbungen auf den Zähnen, sogenannte White-Spots entstehen. Der Grund hierfür ist eine veränderte Lichtbrechung im Bereich der geschädigten Oberfläche. Diese Bereiche sind allerdings im Grunde genommen intakter Zahnschmelz daher besteht medizinisch keine Indikation den Bohrer anzusetzen und z.B. eine Füllung zu machen.

Bisher konnten White-Spots nur entweder belassen werden mit allen damit verbundenen ästhetischen Einschränkungen, oder es musste Zahnsubstanz entfernt werden um den Bereich mit einer Füllung oder auch einem Veneer zu versorgen.

Seit einigen Jahren ist dies nicht mehr nötig. Durch Infiltration kann ohne Bohren der Unterschied in der Lichtbrechung wieder ausgleichen werden. So kann das Aussehen der infiltrierten Läsion wieder dem umliegenden gesunden Schmelz angeglichen werden. Ein verwandtes Verfahren ist die Kariesinfiltration die ebenfalls von der Firma DMG entwickelt wurde.

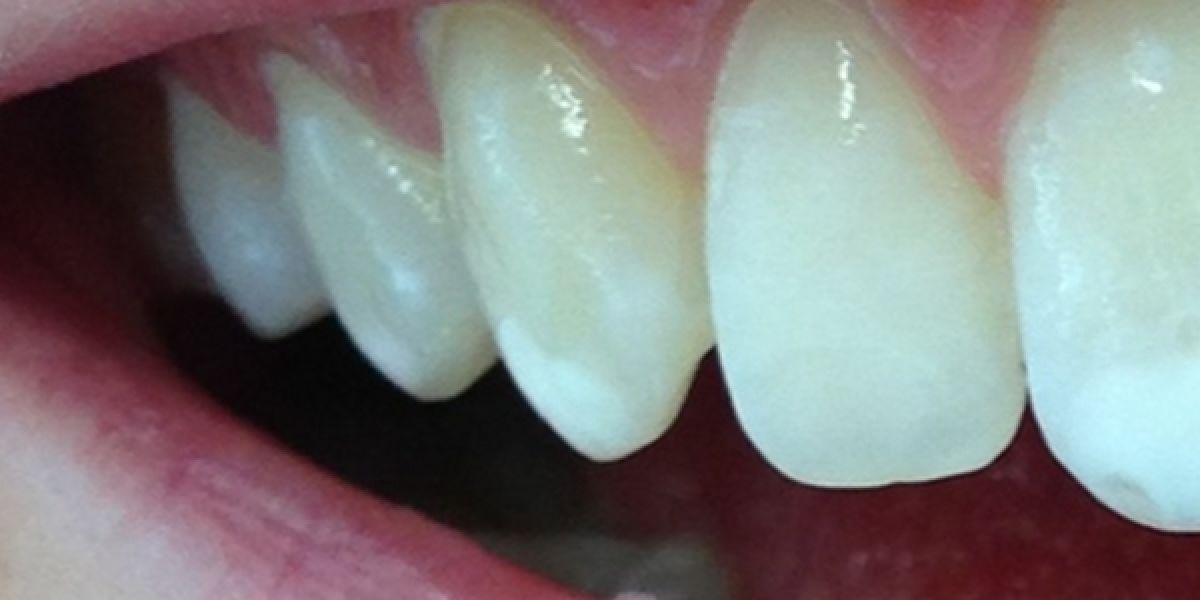
Auf folgenden Bildern sieht man sehr schön das Ergebnis einer White-Spot-Entfernung, in diesem Fall nur am seitlichen Schneidezahn.

Bilder

Bildnachweis © Praxis für Zahnheilkunde Dr. Peter Pausenberger, Stuttgart

Vorteile
  • kein Bohren nötig
  • minimalinvasiv
  • vollständige oder fast vollständige Entfernung von White-Spots möglich
  • vergleichsweise günstig, eine hochästhetische Füllung kostet in etwa gleich viel, ein Veneer deutlich mehr
Nachteile
  • wird nicht von gesetzlichen Krankenkassen übernommen, i.d. Regel auch nicht von privaten Krankenversicherungen oder Zusatzversicherungen
  • wird nicht von allen Zahnärztinnen und Zahnärzten angeboten, viele kennen das Verfahren nicht einmal
Links

 

 

Wir benutzen Cookies

Wir nutzen Cookies auf unserer Website. Einige von ihnen sind essenziell für den Betrieb der Seite, während andere uns helfen, diese Website und die Nutzererfahrung zu verbessern (Tracking Cookies). Sie können selbst entscheiden, ob Sie die Cookies zulassen möchten. Bitte beachten Sie, dass bei einer Ablehnung womöglich nicht mehr alle Funktionalitäten der Seite zur Verfügung stehen.